30 seconds COVID19 Test Using AI & Chest X-ray
Upload a clear and high resolution scanned copy of your Chest X-ray below:
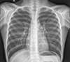
This sample image is for reference. Please only upload chest X-rays.
Uploading images other than chest X-rays or blurry/out-of-focus X-rays might show misleading results.
Last Updated: 13 Aug 2020 21:46 IST. If you had tested this model earlier than this date, it is requested to re-test it. The model has been updated and is more accurate now.
Uploading images other than chest X-rays or blurry/out-of-focus X-rays might show misleading results.
Last Updated: 13 Aug 2020 21:46 IST. If you had tested this model earlier than this date, it is requested to re-test it. The model has been updated and is more accurate now.
The Science Behind It
The test uses AI to detect signs of COVID19. The model has been trained on thousands of COVID19 Positive and Negative X-rays.
Limitations: It CANNOT distinguish between diseases that have similar X-ray patterns (like COVID19 and TB). It cannot detect COVID19 in asymptomatic patients.
I am actively looking for newer, broader and versatile validation datasets to test it on to establish its actual accuracy. If you have any, please mail me at meetul@meetul.com
Known Issues with this technique: 1 | 2
Limitations: It CANNOT distinguish between diseases that have similar X-ray patterns (like COVID19 and TB). It cannot detect COVID19 in asymptomatic patients.
I am actively looking for newer, broader and versatile validation datasets to test it on to establish its actual accuracy. If you have any, please mail me at meetul@meetul.com
Known Issues with this technique: 1 | 2
Please use this tool with caution. It is EXPERIMENTAL and has a few limitations.
This test is not meant to replace the established COVID19 tests, but to supplement them.
This test is not meant to replace the established COVID19 tests, but to supplement them.